
Gamme génétique
Notre catalogue Génétique est disponible !
Découvrez la large gamme d’analyses génétiques proposée par Anydiag.
Ce cas de myélome multiple félin, présenté par le Dr Delphine Rivière, permet d’illustrer les manifestations cliniques et les critères biologiques caractéristiques, ainsi que l’apport diagnostique majeur du myélogramme et de l’électrophorèse dans cette hémopathie peu fréquente chez le chat.
CAS CLINIQUE
Un chat européen, mâle castré de 11 ans, est présenté en consultation référée (J0) pour l’exploration d’une bicytopénie (anémie et thrombopénie) et d’une hyperprotidémie (>120g/L).
Le patient présente aussi une baisse marquée de l’état général depuis plus d’une semaine et une hyperthermie le jour de la consultation.
Les examens suivants sont prescrits et réalisés au laboratoire Anydiag :
- Un dosage de la protidémie,
- Une électrophorèse des protéines totales,
- Un rapport protéines urinaires/créatinine urinaire,
- Un hémogramme avec examen du frottis sanguin,
- Un myélogramme.
L’électrophorèse des protéines sériques confirme l’hyperprotidémie (120g/L) secondaire à une hypergammaglobulinémie d’allure monoclonale (83.1g/L) (cf. annexe 1).
Le RPCU est élevé (1.2 [<0.2]), confirmant une forte protéinurie.
L’hémogramme met en évidence une pancytopénie, qui est confirmée au frottis.
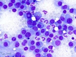
Le myélogramme, parfaitement indiqué dans le cas présent, met en évidence une moelle très cellulaire, conséquence d’un infiltrat plasmocytoïde, qui représente au moins 40% des cellules nucléées, avec des anomalies morphologiques modérées (cf. annexe 2).
Cette infiltration plasmocytaire médullaire (> 40%) avec atypies modérées, associée à une gammapathie monoclonale est très fortement en faveur d’une hémopathie plasmocytaire de type myélome.
A ce stade, le diagnostic de myélome multiple sensu stricto ne peut pas être affirmé avec certitude, certains critères manquent pour conclure définitivement (cf. discussion).
DISCUSSION : LE MYÉLOME MULTIPLE CHEZ LE CHAT OU COMPLEXE MYÉLOME FÉLIN
Le myélome multiple est une pathologie rare chez le chat, avec une incidence inférieure à 1% des hémopathies dans cette espèce, qui atteint le chat plutôt âgé (âge médian de 12 ans). De très rares cas ont été décrits sur des animaux de moins de 6 ans, dont deux publiés sur des chats de 18 et 19 mois.
Les critères de diagnostic du myélome multiple sont moins bien définis chez le chat que chez le chien, et différentes entités sont rapportées dans cette espèce (Mellor 2006 et 2008) :
- le myélome multiple sensu stricto,
- le plasmocytome cutané extramédullaire (qui peut avoir un comportement malin dans l’espèce féline),
- le plasmocytome extramédullaire non cutané,
- le plasmocytome osseux isolé,
- la maladie de Waldenström,
- le lymphome B avec pic monoclonal d’Ig,
- la leucémie plasmocytaire.
SIGNES CLINIQUES
Les signes cliniques de myélome multiple sont généralement non spécifiques (fatigue, modifications de l’appétit et amaigrissement).
D’autres peuvent être plus spécifiques et orienter la démarche vers le diagnostic différentiel de myélome multiple (cf. tableau n°1) : les douleurs osseuses, des troubles neurologiques (ataxie, changement de comportement, convulsions et tourner en rond), un syndrome PUPD, des saignements (épistaxis, méléna, hémorragies rétiniennes ou intraoculaires entraînant une cécité), des infections et l’anémie.
MODIFICATIONS BIOLOGIQUES ET DIAGNOSTIC
- Focus sur le myélogramme
Face à une suspicion de myélome, le myélogramme est impératif dans la démarche diagnostique.
Il permet d’une part, de confirmer un des critères majeurs du diagnostic : la plasmocytose médullaire.
Les valeurs usuelles de plasmocytes dans la moelle osseuse des chats sains sont de 0.8 +/- 0.6%. Toute plasmocytose supérieure à 1.4% pourrait donc être jugée comme anormale, mais ce seuil est considéré très bas en pratique chez le chat. Une valeur minimale de 10%, et idéalement supérieure à 20% correspond actuellement à la valeur seuil fortement évocatrice de myélome multiple. On rappelle aussi que la répartition des plasmocytes dans la moelle est souvent hétérogène et que la présence de nids de plasmocytes sous-évalue leur proportion lors du comptage.
Les anomalies morphologiques sont également importantes à prendre en compte dans le diagnostic. En effet, si la prolifération plasmocytaire est atypique, le seuil médullaire significatif peut être descendu à 5% (Patel 2005).
Le myélogramme permet également de distinguer le myélome multiple sensu stricto, du plasmocytome extramédullaire non cutané (initialement splénique), en mettant en évidence une infiltration médullaire (absente pour le plasmocytome extramédullaire non cutané).
Des cas de leucémies à plasmocytes sont également possibles avec présence de plasmocytes anormaux dans le sang circulant ; argument supplémentaire pour réaliser un frottis sanguin en même temps que le myélogramme.
Le myélogramme permet enfin d’évaluer l’importance de l’infiltration médullaire à des fins pronostiques et thérapeutiques, une infiltration majeure augmentant le risque infectieux et contre-indiquant initialement l’utilisation d’agents de chimiothérapie myélotoxiques.
- Focus sur l’électrophorèse des protéines
La gammapathie monoclonale est fréquente dans l’espèce féline : de 87 à 100% des cas et située en région des globulines. L’hyperprotidémie et l’hyperglobulinémie sont d’ailleurs des critères biologiques fortement évocateurs de myélome dans cette espèce.
Une normoprotidémie reste cependant possible lorsqu’une hypoalbuminémie vient masquer l’hyperglobulinémie. Il convient donc, face à une suspicion clinique forte, de demander systématiquement une électrophorèse des protéines sériques (ou au moins un rapport albumine/globulines) même lorsque la protidémie totale est dans les valeurs usuelles.
La protéinurie de Bence-Jones (PBJ), définie comme la présence en excès de chaines légères d’immunoglobulines dans les urines, est un autre critère à mettre en évidence pour confirmer le diagnostic.
Les valeurs en g/L de cette protéinurie sont en général faibles et absolument non comparables en intensité avec celles observées lors d’une glomérulopathie. Cette PBJ ne peut être mise en évidence, ni par la bandelette urinaire, ni par la réaction de Heller.
La méthode de référence de mise en évidence de cette PBJ est l’électrophorèse des protéines urinaires ou l’immunoélectrophorèse. Ces tests nécessitent une concentration des urines et l’utilisation de gels spécifiques plus fins et plus discriminants.



Annexe 2 : Myélogramme – X200 et X1000 – Très nombreux plasmocytes formant des plages coalescentes, d’aspect assez bien différencié, avec des atypies modérées (anisocytose, binucléation, anisocaryose).
Ceci peut également vous intéresser
Toutes les actualités
